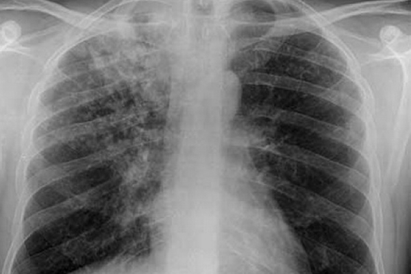
Moldova va obține 15,8 mln euro pentru combaterea tuberculozei și HIV/SIDA

Republica Moldova va obține în următorii doi ani 15,8 milioane de euro din partea Fondului Global de Combatere SIDA, Tuberculozei și Malariei. Pentru controlul HIV/SIDA este prevăzută suma de 7,1 milioane de euro, iar pentru controlul tuberculozei – 8,7 milioane de euro, transmite IPN.

Potrivit unui comunicat de presă al Ministerului Sănătății, Muncii și Protecției Sociale, vor fi finanțate activitățile incluse în programele naționale de profilaxie și control al tuberculozei și infecției HIV pentru anii 2016-2020.

Republica Moldova a depus aplicațiile pentru continuarea granturilor Fondului Global destinate prevenirii și controlului TB și HIV/SIDA la începutul anului 2017. Începând cu anul 2003, Fondul Global a acordat Republicii Moldova investiții în valoare de aproximativ 115 milioane de dolari pentru susținerea programelor naționale de prevenire și control al tuberculozei și HIV/SIDA.

Dvs. folosiți o componentă de ADS Blocker.
IPN e menținut din publicitate.
Susțineți presa liberă!
Unele funcționalități pot fi blocate, vă rugăm să dezactivați componenta de ADS Blocker.
Mulțumim pentru înțelegere!
Echipa IPN.